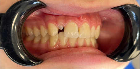
Наращивание зуба 1.2 Увеличить Увеличить Проводили лечение без категории Записаться на прием Берсанова Лейла Умаровна Стоматолог Стаж - 7 лет