Профгигиена

Показать фильтр
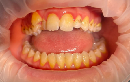
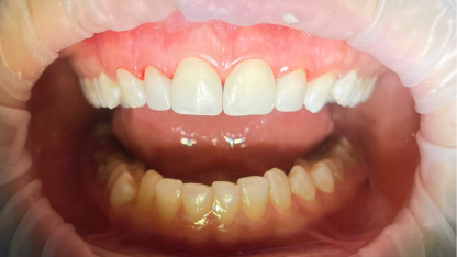
  • Профессиональная гигиена полости рта
  • Профессиональная гигиена полости рта
Проводили лечение
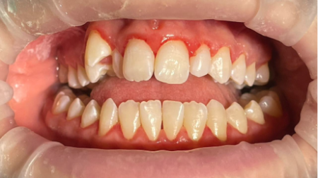
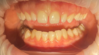
  • Закрытие промежутков между фронтальными каналами верхней челюсти
  • Закрытие промежутков между фронтальными каналами верхней челюсти
Проводили лечение
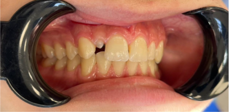
  • Наращивание зуба 1.2
  • Наращивание зуба 1.2
Проводили лечение
  • Склеротерапия
  • Склеротерапия
Проводили лечение
Записаться онлайн
Записаться на телефону
+7 (964) 055-50-50 перезвоним в течение 10 минут

Вступайте и пишите в группу