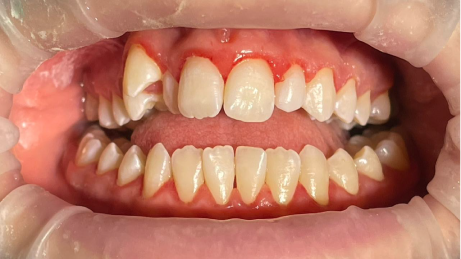
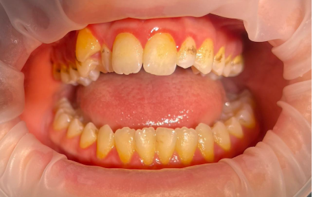
Профессиональная гигиена полости рта Увеличить Увеличить Проводили лечение без категории Записаться на прием Берсанова Лейла Умаровна Стоматолог Стаж - 7 лет